วันเสาร์ที่ 30 กันยายน พ.ศ. 2560

อยากรู้จัง!! ฟอกฟันขาว แบบชาโคล ฟันขาวจริงไหม จะทำให้ฟันสึกกร่อนไหม

ยุคนี้กลายเป็นยุคของชาโคลไปแล้ว ขนาด ฟอกฟันขาว ยังต้องพึ่งชาโคลกันเลย 

คำถามคือ แล้วมันดีจริงป่าวอะ ในใจลึกๆอยากสั่งซื้อเลย เพราะคิดว่าฟันน่าจะขาวขึ้น แต่ก็กลัวผลข้างเคียงที่อาจทำให้ฟันเสียไปตลอดก็ได้ 

พอหาข้อมูลก็เจอเลยจ้า มีคนที่ชื่นชมว่า สรรพคุณของชาโคลนั้น ทำให้ฟันขาว แค่เพียงแปรงฟันด้วยผงชาโคล แล้วพอกทิ้งไว้สัก 3-5 นาที ฟันขาวขึ้นเลย ลองไปหาในยูทูปดูได้ เราเอาแต่ภาพมาลงให้ดูไปคร่าวๆละกัน 

มีคนเข้าไปดูมากกว่า 1.5ล้านวิว ในเช้าวันที่คลิปนี้ถูกเผยแพร่ออกไป

แล้วก็ตามมาติดๆด้วย คำเตือนจากทันตแพทย์ผู้หวังดี ว่า การฟอกสีฟันด้วยผงถ่านสีดำ หรือผงชาโคลนั้น มีผลทำให้สารเคลือบฟันเสื่อมสภาพ และ จะกัดกร่อนเนื้อฟันได้ 



เจ้าของคลิป อ้างว่า ผงชาโคล มีคุณสมบัติโดดเด่นในเรื่องดูดซับสารพิษ ซึ่งจะช่วยดูดแบคทีเรีย และคราบเหลืองที่เกาะฟันออกได้ ทำให้ฟันขาวได้ 

แต่ในขณะนี้ สมาคมทันตกรรมอเมริกา  (American Dental Association)  ยังไม่ได้รับรองอนุมัติผลิตภัณฑ์ใดๆ เกี่ยวกับเครื่องสำอางวิธีนี้ ซึ่งอาจจะส่งอันตรายต่อฟันในระยะยาว ทันตแพทย์กล่าวไว้

ดร. ซูซานเมเปิลส์  ทันตแพทย์และทันตแพทย์ในมิชิแกนซึ่งเป็นผู้ประพันธ์ "Blabber Mouth !:
77 ความลับเพียงปากของคุณเท่านั้นที่สามารถบอกคุณได้ว่าจะมีชีวิตที่มีสุขภาพดีและมีชีวิตที่เซ็กซี่ขึ้น" FoxNews.com เพื่อทราบว่าอาหารเสริมมีประโยชน์หรือไม่และอาจเป็นอันตรายได้

ดร. ซูซานเมเปิลส์ อธิบายว่า ฟันเป็นแค่ส่วนหนึ่งของ เอ็กโทเดิร์ม (ectoderm) ที่ไม่สามารถเติมเต็มหรือรักษาตัวเองได้เลย พูดเป็นภาษาที่เข้าใจได้คือ ถ้ามันเสื่อมหรือโดนกัดกร่อนไปมันจะหายไปตลอดกาลนานเทอญเลย 

ไม่เหมือน เล็บ หรือเส้นผม ที่ตัดออกไปแล้วงอกขึ้นมาใหม่ได้ 

ดร. ซูซานเมเปิลส์ กล่าวทิ้งท้ายว่า หากเคลือบฟันเสียหาย จะส่งผลให้เกิดความเสี่ยง ผิวฟันบาง เกิดอาการเสียวฟันได้มากกว่าปกติ และ อาจทำให้มีโอกาสเกิดฟันผุได้ง่ายขึ้นในระยะยาวอีกด้วย 

หมอฟันออกมาอธิบายพอสมควรแล้ว ทุกท่านพิจารณาด้วยตัวเอง ว่า รับความเสี่ยงไหวไหม คุ้มไหมที่จะเสี่ยง บางท่านอาจจะอยากร้องเพลง รู้ว่าเสี่ยงแต่คงต้องขอลอง.... คิดกันเองเนอะ ต่างคนต่างปัจจัย ต่างความคิด  

ในส่วนตัว คงต้องขอผ่านคร้าบบบบบบ อยากมีฟันไว้กินอาหารอร่อยต่อไป 

ขอขอบพระคุณข้อมูลจาก foxnews.com

  


วันจันทร์ที่ 15 สิงหาคม พ.ศ. 2559

10 วิธี ที่จะช่วยให้คุณมีรอยยิ้มน่ามอง โชว์ฟันขาวสุขภาพดี

รอยยิ้มของคุณเป็นหนึ่งในสิ่งแรกที่คนสังเกตเห็นเกี่ยวกับคุณ รอยยิ้มที่มีสุขภาพดีจะไม่ประสบความสำเร็จเสมอในชั่วข้ามคืน แต่ใช้ความหลากหลายของวิธีการที่จะช่วยในการสร้างและการบำรุงรักษา ที่นี่ 10 สิ่งที่ง่ายที่คุณสามารถทำได้เพื่อช่วยปรับปรุงลักษณะที่ปรากฏและสุขภาพของฟันของคุณ

1. ไหมขัดฟันทุกวัน

ไหมขัดฟันขจัดคราบจุลินทรีย์ระหว่างฟันและออกมาจากใต้ gumlines ที่แปรงสีฟันไม่สามารถเข้าถึง ใช้ไหมขัดฟันเป็นประจำทุกวันจะช่วยป้องกันฟันผุและโรคเหงือกอักเสบ เมื่อเหลือเพียงอย่างเดียวคราบจุลินทรีย์และหินปูนสร้างขึ้นภายใต้พื้นผิวของ gumlines ที่ นี้สามารถทำให้เกิดโรคปริทันต์ซึ่งนำไปสู่​​การทำลายกระดูกและการสูญเสียฟัน

ใช้ไหมขัดฟันอย่างถูกต้องตัดไหมขัดฟันแน่นรอบนิ้วของคุณและใส่ในช่องว่างระหว่างฟันของคุณ ค่อยๆเลื่อนขึ้นและลงใต้ gumlines สองถึงสามครั้ง ถ้ามีเลือดออกที่เกิดขึ้นนี้มีแนวโน้มมากที่สุดเนื่องจากโรคเหงือกอักเสบหรือโรคเหงือก เมื่อใช้ไหมขัดฟันทุกวันมีเลือดออกที่เกี่ยวข้องกับการอ่อนถึงปานกลางโรคเหงือกอักเสบมักจะหยุดหลังจากประมาณสองสัปดาห์
หากคุณเพียงแค่ไม่สามารถยืนใช้ไหมขัดฟันลอง Irrigator ในช่องปาก นี้น้ำสเปรย์อุปกรณ์หรือน้ำยาบ้วนปากเพื่อกำจัดคราบจุลินทรีย์และอาหารระหว่างฟันและด้านล่างของร่องเหงือกของคุณ

2. พบหมอฟันของคุณปีละสองครั้ง
มีการทำความสะอาดประจำทุกหกเดือนจะช่วยให้การส่งเสริมสุขภาพช่องปากที่ดีและรอยยิ้มที่สวยงาม เมื่อทำความสะอาดของคุณมีความผิดปกติคุณสามารถพัฒนาโรคปริทันต์ นี้สามารถทำให้เกิดการบวมน่าเกลียดถอยและเลือดออกเหงือก นอกจากนี้ยังเชื่อมโยงกับสภาวะสุขภาพเช่นโรคหัวใจ, โรคหลอดเลือดสมอง, โรคเบาหวาน, โรคอ้วน, การเกิดก่อนวัยอันควรและหยุดหายใจขณะหลับ
นอกจากลบคราบและหินปูนจากฟันของคุณ hygienist ทันตกรรมของคุณยังจะได้หน้าจอสำหรับสภาวะสุขภาพเช่นความดันโลหิตสูงและมะเร็งในช่องปาก เนื่องจากสภาวะสุขภาพจำนวนมากปรากฏตัวในปาก, ทันตแพทย์และ hygienist ของคุณสามารถทำให้คุณตระหนักถึงปัญหาที่คุณควรติดตามกับแพทย์ของคุณ
 
3. เลิกสูบบุหรี่ให้ได้
สูบบุหรี่ทำให้เกิดการย้อมสีฟันของคุณ รอยเปื้อนจากควันบางครั้งก็เป็นคราบตื้นที่สามารถขัดออก แต่ก็ยังสามารถแช่ลึกลงไปในผิวเคลือบฟัน
การสูบบุหรี่ยังความเสียหายสุขภาพเหงือกทำให้พวกเขาถอยห่างและพัฒนากระเป๋าขนาดใหญ่รอบ ๆ ฟัน นี้จะทำให้ฟันปรากฏอีกต่อไปและสร้างช่องว่างระหว่างพวกเขาที่มืด การสูบบุหรี่ยังทำให้มันยากมากที่จะย้อนกลับโรคเหงือก

4. งดการดื่ม น้ำชา กาแฟ และไวน์แดง
เครื่องดื่มเช่นกาแฟ, ชาและไวน์แดงเป็นที่รู้จักสำหรับการย้อมสีฟัน คล้ายกับการสูบบุหรี่, เครื่องดื่มเหล่านี้สามารถสร้างขึ้นคราบตื้นที่ทันตแพทย์ของคุณสามารถขัดออก แต่พวกเขายังสามารถทำให้เกิดการย้อมสีภายในของเคลือบฟันของคุณ
ดื่มผ่านฟางสามารถช่วยลดคราบบนฟันของคุณและอาจช่วยลดความเสี่ยงของฟันผุ นอกจากนี้ยังสามารถช่วยในการล้างปากของคุณด้วยน้ำบ่อยดังนั้นของเหลวสีเข้มไม่ได้นั่งอยู่บนฟันของคุณเป็นเวลานานระหว่างมื้ออาหาร
 
5. ซื้อแปรงสีฟันคุณภาพสูง 
แปรงสีฟันไฟฟ้าที่มีคุณภาพชั้นนำที่มีการแสดงทางคลินิกเพื่อกำจัดคราบจุลินทรีย์มากขึ้นและบรรลุเหงือกมีสุขภาพดีกว่าแปรงสีฟันคู่มือมาตรฐาน ตอนนี้หลายคนมีโหมดสำหรับการฟอกสีฟันและฟันที่สำคัญ ร่างแปรงสีฟันจะทำเพื่อให้มีอายุการใช้งานมานานหลายปีในขณะที่หัวสามารถเปลี่ยนแปลงได้ออกมาเป็นประจำขณะที่พวกเขาอายุหรือสำหรับการแบ่งปันในหมู่สมาชิกในครอบครัว
หากคุณไม่พร้อมที่จะเปลือกออกแป้งสำหรับแปรงสีฟันไฟฟ้าให้แน่ใจว่าจะซื้อแปรงขนนุ่มคู่มือ ขณะปานกลางและยากแปรงขนมีพร้อมในตลาดผู้เชี่ยวชาญด้านทันตกรรมยืนกรานให้คำแนะนำกับการใช้งานของพวกเขา ขนแปรงแข็งและการแปรงฟันก้าวร้าวทำให้เกิดเหงือกร่นและสามารถสวมใส่เคลือบฟันออกไปจากฟัน
 
6. ดื่มน้ำมาก ๆ
น้ำเป็นเครื่องดื่มที่ดีต่อสุขภาพสำหรับรอยยิ้มและร่างกายของคุณ มันจะช่วยให้ฟันล้างทำความสะอาดและลดการเกิดฟันผุ น้ำประปาเป็นตัวเลือกที่ดีที่สุดเท่าที่จะมีปริมาณที่แนะนำของฟลูออไร หลายครั้งที่น้ำดื่มบรรจุขวดมาจากแหล่งที่มาที่ระดับฟลูออไรจะไม่ตรวจสอบหรือมีฟลูออไรไม่ได้เลย ระดับที่ดีต่อสุขภาพของฟลูออไรส่งเสริมสุขภาพฟันและลดการสลายตัว
การบริโภคบ่อยของเครื่องดื่มที่เป็นกรดหรือหวานสามารถเพิ่มอัตราการสลายตัวไปอย่างมาก นักกีฬาเป็นอย่างรวดเร็วกลายเป็นกลุ่มที่มีความเสี่ยงเป็นผลกระทบจากเครื่องดื่มกีฬาใช้โทรในฟันของพวกเขา
 
7. ปรับปรุงสภาพสุขภาพอื่น ๆ ของคุณ
เงื่อนไขเช่นความดันโลหิตสูงโรคเบาหวานโรคอ้วนและการนอนกัดฟัน (หรือเรียกว่าฟันบด) ทุกคนสามารถส่งผลกระทบต่อสุขภาพและการปรากฏตัวของรอยยิ้มของคุณ เมื่อร่างกายเครียดจากภาวะสุขภาพหนึ่งก็ยากมากขึ้นในการรักษาอีก
แทนที่จะครอบคลุมถึงอาการคุณสามารถช่วยปรับปรุงสุขภาพของคุณด้วยวิธีการป้องกัน รับประทานอาหารที่เหมาะสมและได้รับการออกกำลังกายที่เพียงพออย่างมากสามารถปรับปรุงลักษณะของร่างกายของคุณฟันและเหงือก
 
8.ได้รับการรักษาทางทันตกรรมในเวลาที่เหมาะสม
เงื่อนไขทันตกรรมไม่เคยแก้ไขตัวเองด้วยตัวเอง ฟันผุซ้ายไม่ถูกรักษาได้อย่างง่ายดายสามารถเปลี่ยนช่องขนาดเล็กเป็นฝีฟันขนาดใหญ่ ที่ไส้เล็ก ๆ อาจจะได้รับสิ่งที่จำเป็นตอนนี้อาจต้องใช้คลองรากฟันและพระมหากษัตริย์
การรักษาฟันผุของคุณต้นหมายความว่าคุณจะต้องทันตกรรมบูรณะมีขนาดเล็กและไม่ก้าวก่าย ซึ่งจะช่วยรักษาโครงสร้างและความมั่นคงของฟันและช่วยลดค่าใช้จ่ายการรักษา ถ้าเหลือดิบผุสามารถแพร่กระจายไปฟันอื่น ๆ และอาจทำให้เกิดการติดเชื้อตลอดเวลาที่เหลือของร่างกายของคุณ
 
9. แปรงฟัน วันละสองครั้ง
นี้จะ ได้รับ แต่หลายคน ยังคงต้องมี การแจ้งเตือนให้ แปรงฟัน อย่างน้อยวัน ละสองครั้ง เพราะ คราบจุลินทรีย์ สามารถ แข็งเป็น หินปูน แปรง บ่อย ช่วยให้ฟัน ขาว ที่จะอยู่ และ มีสุขภาพดีกว่า คนที่ แปรง มักจะน้อย
วิธีที่คุณ แปรง ยังเป็นสิ่งสำคัญ มุม ขนแปรง ที่มีต่อ ร่องเหงือก ที่มุม 45 องศา กับ ความดันเพียงพอ เพียงเพื่อให้ เนื้อเยื่อ สีอ่อน ค่อยๆ ทำให้ จังหวะ เล็ก ๆ โดยมุ่งเน้น เพียงหนึ่งหรือสอง ฟัน ในเวลา นี้จะช่วยให้ เหงือกของคุณ มีสุขภาพดี และลบ คราบจุลินทรีย์ มากที่สุด
 
10. เลือกผลิตภัณฑ์ไวท์เทนนิ่งของคุณอย่างระมัดระวัง

ทั้งนี้ขึ้นอยู่กับความต้องการของคุณมีความหลากหลายของผลิตภัณฑ์ไวท์เทนนิ่งที่มีอยู่: ปากกาฟอกสีฟัน ยาสีฟันไวท์เทนนิ่ง,แผ่นฟอกฟันขาว , ถาดมากกว่าที่เคาน์เตอร์, ถาดที่กำหนดเองและการฟอกสีฟันด้วยเลเซอร์ ในขณะที่ตัวเลือกที่สามารถครอบงำแต่ละประเภทจะมีประโยชน์เฉพาะที่ช่วยให้คุณกำหนดเป้​​าหมายพื้นที่ที่มีปัญหา ยาสีฟันไวท์เทนนิ่งและล้างสิ่งที่ดีสำหรับนักดื่มกาแฟและชา ปากกาเจลที่ดีสำหรับการสัมผัสพื้นที่ขนาดเล็กเช่นฟันที่ได้เปลี่ยนกลับและเก็บรวบรวมคราบอื่น ๆ ถาดที่กำหนดเองและการฟอกสีฟันด้วยเลเซอร์ให้ความแข็งแรงระดับมืออาชีพไวท์เทนนิ่งและนำเสนอผลลัพธ์ที่น่าทึ่งที่สุด
 
 สร้างนิสัย ที่ดีสำหรับ รอยยิ้ม ที่ดี มันสามารถ ใช้เวลาก่อนที่ คุณจะเริ่ม สังเกตเห็นการเปลี่ยนแปลง จาก การฟอกสีฟัน หรือ สุขภาพช่องปากที่ ดีขึ้น ขณะที่การเปลี่ยนแปลง เหล่านี้ ไม่ได้มา ในชั่วข้ามคืน พวกเขาอย่างแน่นอน คุ้มค่าเวลา และความพยายาม ทั้ง เพื่อประโยชน์ของ รอยยิ้มของคุณ และสุขภาพโดยรวม ของคุณ รอยยิ้มฟันขาว ฟันขาว สุขภาพดี  

credit : ชารอนบอยด์ RDH

วันอังคารที่ 5 มกราคม พ.ศ. 2559

แนะนำ ชุดฟอกสีฟันแบบที่ทำเองได้ที่บ้าน

ชุดฟอกสีฟันบิ้วตี้ฟูลสมาย รุ่นพรีเมี่ยม
 (Beautiful smile PREMIUM kit )

เป็นการฟอกสีฟัน ที่ใช้แสงเย็นเข้าช่วยเร่งการทำงานของน้ยาฟอกสีฟัน
 ช่วยให้ฟันขาวสดใส ใช้เวลาเพียงครั้งละ 60นาที


แผ่นแปะฟันขาวไบร์ทไวท์ สูตรดรายสติก  
Bight White Dry teeth whitening stripes

เป็นการฟอกสีฟัน ที่สะดวกมาก ไม่ต้องใช้เครื่องฉายแสงเย็น ไม่ต้องทำพิมพ์ฟัน
แค่ฉีกซองออก นำแผ่นเจลฟอกฟันขาว แปะฟันทิ้งไว้ 1-2ชั่วโมง


วันจันทร์ที่ 26 ตุลาคม พ.ศ. 2558

ฟอกสีฟันแบบทำเอง ฟันขาวขึ้นจริง ประหยัดเงินไปเยอะเลย อิอิ


ชุดฟอกสีฟันแบบทำเองที่บ้าน ยี่ห้อ Beautiful Smile Home kit รุ่น Premium
ใช้แล้วเห็นผลจริง ฟันขาวขึ้นจริง ในชุดฟอกสีฟันพรีเมี่ยม จะมีน้ำยาฟอกสีฟันชนิด Carbamide peroxide ความเข้มข้น 35% พร้อมด้วย เครื่องฉายแสงเย็น สีฟ้า (Blue Cool Light) ที่ช่วยเร่งกระบวนการเพิ่ม Oxygenในเนื้อเจล  ทำให้ตัวฟันขาวเร็วขึ้น   เป็นสารฟอกสีฟันตัวเดียวกับที่ใช้ในคลีนิค ผ่านมาตรฐานยุโรป CE, FDA ในวงการการฟอกฟันขาว เป็นที่รู้จักกันดี และใช้กันทั่วโลก

ถ้าฟอกด้วยเจลฟอกสีฟันอย่างเดียวก็ได้ แต่ควรจะใช้ถาดครอบฟันที่ทำโดยหมอฟัน เพื่อให้ฟอกน้ำยาได้นาน ครั้งละ 3-4ชั่วโมง
หากใช้เครื่องฉายแสงเย็นที่มีมาในชุดฟอกสีฟันนี้แล้ว จะช่วงย่นระยะเวลาในการฟอกสีฟันได้ จาก 4 ชั่วโมง เหลือเพียง 60 นาทีเท่านั้น

หากใครมีถาดพิมพ์ฟันอยู่แล้ว ก็ซื้อแต่น้ำยา จะช่วยให้ประหยัดเงินไปได้เยอะ ขึ้นไม่ต้องซื้อทั้งเซตก็ได้  มีคนถามว่า แล้วถ้าไปทำถาดพิมพ์ฟันกับหมอฟัน จะต้องจ่ายประมาณเท่าไร คำตอบคือ ประมาณ 1,500-2,500 บาท คุ้มนะใช้ได้ยาวนาน ข้อเสียคือ หาคุณต้องทำอะไรกับฟัน เช่น อุดฟัน หรือรักษารากฟัน ฟันอาจจะเคลื่อนที่ ผิดรูปไปจากเดิม อาจจะทำให้ถาดพิมพ์ฟันใช้ไม่ได้ ต้องทำอันใหม่  ดังนั้นก่อนจะทำถาดพิมพ์ฟัน ควรรักษาฟันให้อยู่ในสภาพที่ดีที่สุด ซึ่งจะไม่เปลี่ยนแปลงอีกนาน จะได้ใช้ถาดพิมพ์ฟันได้คุ้มค่า
หากคุณมองหาการ ฟอกสีฟัน ราคา ประหยัด และได้ผลจริง ทำได้เองบ่อยเท่าที่ต้องการได้ คุ้มค่ามาก ถ้าคุณได้ใช้ ชุดฟอกสีฟัน บิ้วตี้ฟูลสมาย รุ่นพรีเมี่ยม อุปกรณครบ ชุดเดียวเอาอยู่  ฟันขาวขึ้นจริง

วันจันทร์ที่ 27 กรกฎาคม พ.ศ. 2558

ลองใช้ชุดฟอกสีฟันแบบทำเองที่บ้าน รุ่นพรีเมี่ยม

 

ชุดฟอกสีฟันที่บ้าน รุ่นพรีเมี่ยม 
ฟอกสีฟันวันละ 60 นาที ฟันขาวขึ้นใน  5 วัน ขาวสูงสุด 7 ระดับ
ประหยัดเวลา ไม่ต้องไปถึงคลีนิค ปลอดภัย ม่ทำลายเคลือบสีฟันมาตราฐานคลีนิค ฟันขาวขึ้นในครั้งแรกที่ใช้
 
ผ่านการรับรองคุณภาพมาตรฐานยุโรป CE และ SFDAช่วยให้คุณสามารถฟอกสีฟันด้วยตัวคุณเอง คุณภาพเทียบเท่าการฟอกฟันขาวที่คลีนิค
 

รีวิว ชุดฟอกสีฟันรุ่นพรีเมี่ยม


 
ประสิทธิภาพสูงกว่าการฟอกสีฟันโดยใช้เจลเพียงอย่างเดียว เพราะ Beautiful Smile Home kitมีเครื่องฉายแสงเย็น สีฟ้า (Blue Cool Light) ที่ช่วยเร่งกระบวนการเพิ่ม Oxygenในเนื้อเจล ทำให้ตัวฟันขาวเร็วขึ้น และสามารถเข้าถึงซอกฟันที่เข้าถึงยาก เช่น ฟันซ้อน ฟันเขี้ยว
เนื้อเจลฟอกสีฟันเป็น สารCarbamide peroxideเข้มข้น เป็นสารตัวเดียวกับที่ใช้ในคลีนิคผ่านมาตรฐานยุโรป CE, FDA


 อุปกรณ์ทั้งหมดในชุดฟอกสีฟัน beautiful smile home kit ประกอบด้วย    - เจลฟอกสีฟัน คาร์บาไมด์ เปอร์ออกไซค์   ( Carbamide peroxide35% )
    - เครื่องฉายแสงเย็น 6 LEDs  (Cool Light) จำนวน 1 เครื่อง
    - ถาดพิมพ์ฟัน ชนิดใส (Mouth tray)จำนวน 2 ถาด (สำหรับฟันบน และฟันล่าง)                                   
    -  กล่องใส่ แม่พิมพ์ฟัน  จำนวน 1 กล่อง
    - คู่มือการใช้งาน (Home kit manual)
    - แถบเทียบสีฟัน  1 ใบ
1ชุดใช้ได้ประมาณ 12-15 ครั้ง ใช้แค่ 3 -5 ครั้ง พอฟันขาวแล้วก็เก็บเจลไว้ย้ำสักสองเดือนครั้งก็ได้ เ
จลสามารถเก็บได้นาน 2ปีนับจากวันที่เปิดฝาใช้งานแล้ว


วันพุธที่ 1 กรกฎาคม พ.ศ. 2558

รีวิว ชุดฟอกสีฟันแบบทำเองที่บ้าน

สำหรับคนที่เพิ่งถอดเหล็กดัดฟัน ส่วนใหญ่คงเจอปัญหาเรื่องฟันเหลือง
หลังจากที่ได้ฟันที่เรียงตัวกันอย่างงดงามแล้ว แต่ฟันมีสีเหลืองเวลายิ้มก็ไม่มั่นใจอีก
 เลยต้องมาหาข้อมูลการฟอกฟันขาว ซึ่งก็มีค่าใช้จ่ายที่สูงอีก (เพิ่งจะหมดภาระการจ่ายบค่าจัดฟันไปหลายหมื่น) หลายคนคงอยากหาทางทำให้ฟันขาว โดยประหยัดค่าใช้จ่ายลงมาหน่อย
เพราะถามราคาที่ทำในคลีนิคมาแล้ว 6,000 - 20,000 กว่าบาท  แล้วคุณหมอก็มีแนะนำชุดฟอกสีฟันแบบทำเองที่บ้าน ราคา 3,900บาท ถามคุณหมอว่า ถ้าทำแล้วฟันจะขาวได้นานไหม คุณหมอตอบว่า ขึ้นอยู่กับการดูแลรักษา ซึ่งปกติ ฟันขาวได้นาน 10-12เดือน

พอดีมีเพื่อนเพิ่งฟอกสีฟันมา ลงทุนทำที่คลีนิคเลยนะ แต่เพื่อนบ่นว่า 
ขาวแป๊บเดียวเอง ฟันขาวได้ประมาณ 1 เดือน หลังจากนั้นฟันก้เริ่มเปลี่ยนสีอีกแล้ว 
เพื่อนเลยบอกว่า ให้หาชุดฟอกสีฟันมาฟอกเองที่บ้านประหยัดกว่า ฟอกฟันได้บ่อยด้วย 
ไปดูในเนตก็มีคนแนะนำหลายยี่ห้อ มีผลิตภัณฑ์ฟอกสีฟัน หลายแบบมาก หลายราคา
มีตั้งแต่หลัก ร้อย ถึง หลักพันกว่า มีหลายรุ่นหลายแบบ หลากหลายวิธีการใช้งาน

ผลิตภัณฑ์ฟอกสีฟันแบบ แผ่นแปะฟันขาวยี่ห้อ crest3D, Brightwhite และ opalescence go
พวกนี้เป็นแบบใช้แล้วหมดไป ใช้แล้วทิ้ง ใช้ง่ายนะ แค่แปะแผ่นฟอกสีฟันที่ฟัน
 ทิ้งไว้ประมาณ 1-2ชั่วโมง ขึ้นอยู่กับชนิดของเจลฟอกฟันขาว
และความเข้มข้นของน้ำยาฟอกฟันขาวที่อยู่บนแผ่นแปะฟันของแต่ละยี่ห้อ
เข้มข้นมาก ก็ใช้เวลาฟอกฟันไม่นาน เข้มข้นน้อยก็ฟอกนานๆหน่อย

ไว้มาเม้าต่อนะ พอดี ต้องออกเดินทางอีกแล้ว



วันพฤหัสบดีที่ 25 มิถุนายน พ.ศ. 2558

กว่าจะได้รอยยิ้มสมบูรณ์แบบ

ทันตกรรมเพื่อความงาม 
วิธีแก้ไขปัญหาเรื่องฟันในรูปแบบต่างๆ มีภาพก่อนทำและหลังทำ ประกอบเพื่อความเข้าใจ 
ต้องการรอยยิ้มที่สมบูรณ์แบบไหมเอ๋ย?
งั้นก็ต้องพูดถึง Orthodontics (Braces), crowns, veneers,bonding

1.Orthodontics (Braces)

Orthodontics (Braces)

Braces can correct crooked or misaligned teeth, and can improve the health and appearance of anyone's smile -- adult or child. Braces work by applying steady pressure over time to slowly move teeth into alignment. As the teeth move, the bony tooth socket changes shape as pressure is applied.


2.Crowns

Crowns

A crown is a tooth-shaped "cap" that's placed over a weak or damaged tooth to improve its shape, size, strength, or appearance. Most crowns last five to 15 years and can be made of metal, porcelain fused to metal, resin, or ceramic. Before a crown is seated, the existing tooth is filed down; then the crown is cemented over it, fully encasing the tooth. Onlays and three-quarter crowns cover the underlying tooth to a lesser extent.

3.Veneers

Veneers are wafer-thin, custom-made shells that cover the front surface of teeth. Bonded to the front of the teeth, changing their color, shape, size or length, veneers can be made from porcelain or resin composite. Veneers offer a conservative approach to changing a tooth's color or shape compared to crowns, but the process is not reversible.

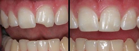
4.Dental Bonding
Bonding is a procedure in which a tooth-colored resin is applied and hardened with a special light, ultimately "bonding" the material to the tooth to improve a person's smile. Among the easiest and least expensive of cosmetic dental procedures, bonding can repair chipped or cracked teeth, close gaps, change the shape of teeth, or be used 
as a cosmetic alternative to silver amalgam fillings.